Новости Зеленодольска

Зеленодольский район

16+
Новости

Татарстанские нейрохирурги спасли жизнь 78-летнему онкобольному

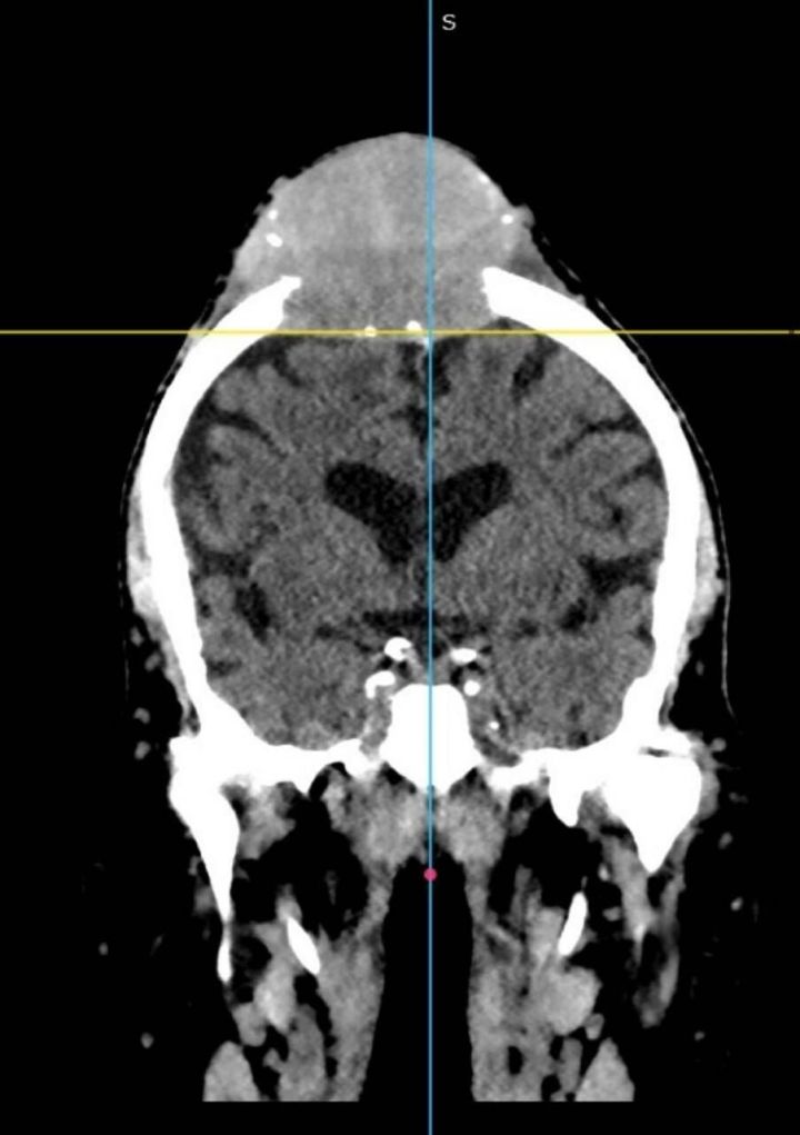
11 ноября в Республиканскую клиническую больницу Татарстана поступил 78-летний мужчина с постоянно растущим образованием на голове

Об этом «Татар-информу» рассказали в пресс-службе клиники.

В 2016 году мужчина перенес операцию по поводу рака правой почки, наблюдался у онколога. В декабре прошлого года заметил, что на голове растет шишка.

«По направлению из ЦРБ прошел обследования в РКОД, откуда его направили на удаление образования к нам. 13 ноября нейрохирурги РКБ Татарстана удалили образование и сделали пластику титановой сеткой», — объяснили в РКБ Татарстана.

Пациента выписали в удовлетворительном состоянии, дальнейшее лечение он будет проходить у онколога.

Гистология показала, что в голове вырос метастаз рака почки.

Следите за самым важным и интересным в Telegram-каналеТатмедиа

Читайте новости Татарстана в национальном мессенджере MАХ: https://max.ru/tatmedia

 

Теперь новости Зеленодольска вы можете узнать в нашем Telegram-канале, а также читайте нас в «Дзен».

 

 


Галерея

Оставляйте реакции

0

0

0

0

0

К сожалению, реакцию можно поставить не более одного раза :(
Мы работаем над улучшением нашего сервиса

Нет комментариев